初台の精密根管治療なら「初台GT歯科」|初台駅南口より徒歩3分

世界基準の診断と技術による 精密根管治療

初台駅南口
より
徒歩3分

マイクロ
スコープ
完備

歯科用CT
による
精密診断

Address

〒151-0061
東京都渋谷区初台1-10-7
パークリュクス初台1F

Hours
平日
9:30~13:00 / 14:30~18:30
土曜
9:00~12:00 / 13:30~17:30
Closed

休診日:水曜・日曜・祝日

ご予約はこちら

目次
Trouble

こんなお悩み
ありませんか?

当院の根管治療にご相談ください

根管治療後なのに痛みや腫れがある

膿がたまっていると言われた

被せ物を外してまた治療と言われた

何ヶ月も根管治療に通っている

他院で抜歯をすすめられた

できるなら歯を抜かずに残したい

丁寧に説明を受けたい

セカンドオピニオンを探している

これらのお悩みは、当院へご相談ください。
世界基準の精密な
検査・診断
のうえで、
現在の状態に合わせた治療を
ご提案いたします。

Contact

治療をするか迷っている方へ
まずは当院で根管治療の
相談をしませんか?

Doctor

に行う 歯科医師が担当

初台の歯科「初台GT歯科」の精密根管治療は、歯を残す治療を専門的に研鑽してきた、日本歯科保存学会認定医が担当します。当院で常勤として診療を行いながら、他院からの依頼にも対応し根管治療を行っています。専門的な知識と豊富な経験をもとに、再治療症例や根の形が複雑なケースなど、より精密さが求められる症例にも対応しています。

歯科医師鈴木 健人

鈴木 健人 医師

略 歴

  • 日本歯科大学 生命歯学部卒業
  • 日本歯科大学附属病院 歯科医師臨床研修 修了
  • 東京歯科大学歯内療法学講座 臨床専門専修科生 修了
  • 都内多数のクリニックで勤務、歯内療法専門として勤務

受講歴

  • 5-D JAPAN ファンダメンタルコース 
    エンド・修復
  • 5-D JAPAN ファンダメンタルコース 
    ペリオ・インプラント
  • デンツプライエンドセミナー Dr山内 隆守
  • ウルトラソニックエンドセミナー Dr神戸 良
  • HI-ENDO ハンズオンセミナー Dr橋爪 英城
  • GPの為の湾曲根管攻略法 2Days プライマリーコース Dr北村 和夫

所属学会

  • 日本歯内療法学会
  • 日本歯科保存学会 認定医
  • 日本顕微鏡歯科学会
  • 日本口腔インプラント学会
  • 日本抗加齢医学会 専門医

「根管治療はどこで受けても同じ」
ではありません

根管治療は、歯の内部の非常に細かい空間で行う精密な治療です。医院ごとの設備や治療方針、術者の経験によって結果に差が出るため、選ぶ医院によって治療の質が変わります。当院ではマイクロスコープや歯科用CTを駆使し、肉眼では見えない部分まで丁寧に確認しながら処置を行います。各工程を慎重に進めることで、歯を長く健康に保つことを目指しています。

根管治療とは

根管治療とは、虫歯や外傷などによって、歯の内部におきた感染や炎症を取り除き、歯を保存するための治療です。感染した組織を取り除いたうえで、根管内を消毒し、再び細菌が侵入しないように封鎖します。適切な処置が行われれば、抜歯を回避し、ご自身の歯を使い続けられる可能性があります。歯の土台を守るための、非常に重要で専門性の高い治療です。

01 Step 1

感染した神経や組織を根管内から取り除きます。

02 Step 2

専用の測定器を用いて根管の長さを測定します。

03 Step 3

薬液で根管内部を繰り返し洗浄し、細菌を除去します。

04 Step 4

清掃後の根管に薬剤を充填し、再感染を防ぐよう密閉します。

05 Step 5

土台を築造し、被せ物を装着して機能回復を図ります。

Question

なぜ根管治療は 難しく長引くのか?

根管治療は、歯の内部という限られた空間で行う非常に繊細な処置です。感染源のわずかな取り残しや封鎖の不備が再感染につながるため、一つひとつの工程に高い精度が求められます。

さらに、症状が落ち着くまで複数回の通院が必要になることもあり、患者さまに負担を感じさせやすい治療です。しかし、丁寧な処置を積み重ねることで、抜歯を回避できる可能性が高まります。

Reason 01
根管(歯の根の中)は非常に細く、
複雑に枝分かれしている
Reason 02
暗く視認しにくいため
感染源の取り残しが起こりやすい
Reason 03
再治療では、既存の薬剤や
土台の除去が障害になる
Reason 04
歯のヒビや根の湾曲など、
形態的条件で難易度が上がる
Reason 05
わずかな精度の差が
治療結果に大きく影響する

根管治療が難しいのは、

歯の根が肉眼では見えないほど複雑だからです。

そのため当院では

Microscope

世界水準
マイクロスコープで
見える精密な治療
行っています

当院では、拡大視野下での精密根管治療を行っています。使用するのは、光学機器分野で世界的評価を受けるカールツァイス社製のマイクロスコープ。優れた光学技術により、肉眼では捉えられない微細な根管の構造やヒビ、感染部位まで鮮明に確認できます。

数倍から十数倍に拡大された視野で処置を行うことで、不要な削合を抑えつつ必要な部分を的確に処置可能。治療の精度と安全性が高まり、再発リスクの低減にもつながります。

マイクロスコープと
肉眼での見え方の違い

肉眼では暗く細い根管内部は、手指の感覚や経験に頼らざるを得ない部分もあります。

一方、マイクロスコープを使用すると、根管の入り口や細かく枝分かれした部分、微細な亀裂、残った感染物質まで鮮明に確認可能。視野が広がることで、必要な部分を正確に処置でき、不要な削合を抑えながら再発リスクを減らすことができます。

肉眼

肉眼で
根管内を見た場合

マイクロスコープ

マイクロスコープで
根管内を見た場合

Contact

まずは、根管治療のことを
専門医に相談してみませんか?

Commitment

歯を残すために
精度優先した根管治療を行います

マイクロスコープの使用と併せて、当院では下記のような工夫を行い、一つひとつの工程を丁寧に積み重ねています。これにより根管内部の感染源を確実に除去し、封鎖の精度を高めています。場当たり的な処置は行わず、将来を見据えた治療計画で、歯を長く健康に保つことを目指しています。

歯科用CTで根管の状態を
精密に診査・診断

01根管は一本一本形が異なり、湾曲や分岐が存在することもあります。歯科用CTを用いることで、従来の二次元レントゲンでは把握しにくい根の本数や方向、骨の状態まで立体的に確認できます。事前に正確な診査・診断を行うことで、治療計画の精度が高まり、無理のない安全なアプローチが可能です。見えない部分を「想像」ではなく「確認」することが、成功率向上の鍵となります。

ラバーダムで
再感染の防止を徹底

02根管治療では、治療中に唾液や細菌が入り込まない環境づくりが重要です。当院ではラバーダム防湿を行い、治療歯のみを隔離した清潔な状態で処置を行います。これにより、唾液中の細菌による再感染リスクを抑えるとともに、薬液が口腔内へ漏れることも防ぎます。無菌的な環境を確保することが、治療の成功率を高める大切な工程です。

ニッケルチタンファイルで
歯の形を守りながら、感染を除去

03根管内部は複雑に湾曲していることが多く、従来の器具では十分に届かない部分も生じます。柔軟性と弾性に優れたニッケルチタンファイルは曲がった根管にしっかり追従するため、歯を削る量を最小限に抑えながらも、感染組織や細かな汚れを隅々まで取り除くことができます。歯本来の構造をできる限り残しながら、最大限の清掃効果を発揮する——それがこの器具の大きな強みです。

治療後の安定を支える、
バイオセラミックシーラー

04バイオセラミックシーラーは、根管内を緊密に封鎖し、細菌の再侵入を防ぐ材料です。生体親和性に優れ、歯や周囲組織になじみやすい特長があります。硬化時にわずかに膨張する性質に加え、抗菌性を持ち、細菌の繁殖を抑えます。微細な隙間までしっかり封鎖できるため、治療後の安定性を高め、長期的な良好な状態の維持につながります。

衛生管理の行き届いた
個室の診療室で感染を防ぐ

05治療は、衛生管理を徹底した個室の診療室で行っています。空間を分けることで飛沫感染のリスクを抑え、より清潔な環境を維持しています。使用器具の滅菌管理はもちろん、治療ごとの消毒や清掃を徹底し、安心して処置を受けていただける体制を整えています。精密治療は、清潔な環境があってこそ成り立つと考えています。

カウンセリングルームで
納得いただけるまで丁寧に説明

06治療前には、カウンセリングルームで丁寧にご説明を行います。現在の状態や治療の必要性、選択肢、費用や期間についても分かりやすくお伝えし、ご納得いただいて治療を開始します。不安や疑問を残したまま進めることはありません。十分な対話を通じて信頼関係を築くことも、精密治療の一部と考えています。

根管治療後の、
被せ物まで精密に対応

07精密に根管治療を行っても、その後の被せ物の適合が不十分であれば、わずかな隙間から細菌が侵入し、再発の原因となります。当院では、見た目の美しさだけでなく、適合精度と機能性を重視した補綴治療を行っています。噛み合わせまで考慮した設計により、治療後も長期的に安定した状態を目指します。精密な根管治療と精密な被せ物は、セットで考えることが重要です。

Case

症例のご紹介

治療前 治療前
治療後 治療後

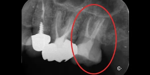
感染根管治療の症例

詳しい症例情報を見る
主訴
左上の歯ぐきが腫れている
治療内容
感染根管治療
患者さまの年齢
64歳
治療期間
2週間(治療回数は2回)
治療費用
¥132,000+再診料¥3,300(税込)
治療のメリット
・感染源を除去し、症状の改善が期待できる
・歯を保存し、抜歯を回避できる可能性がある
・咬合機能の維持につながる
・適切な処置により、長期的な安定が期待できる
リスク・副作用
・術後に疼痛や違和感が生じることがある
・感染の残存や再感染により再治療が必要となる場合がある
・歯質の減少により破折リスクが高まる可能性がある
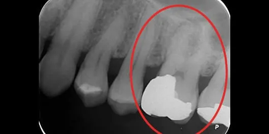
治療前 治療前
治療後 治療後

抜髄の症例

詳しい症例情報を見る
主訴
2日前から夜も眠れないほどの痛みがある
治療内容
抜髄
年齢
50歳
治療期間
3週間(治療回数は2回)
治療費用
¥132,000+再診料¥3,300(税込)
治療のメリット
・感染源を除去し、症状の改善が期待できる
・歯を保存し、抜歯を回避できる可能性がある
・咬合機能の維持につながる
・適切な処置により、長期的な安定が期待できる
リスク・副作用
・術後に疼痛や違和感が生じることがある
・感染の残存や再感染により再治療が必要となる場合がある
・歯質の減少により破折リスクが高まる可能性がある
自由診療 保険診療
Difference

自由診療保険診療
では
対応できる範囲が
異なります

根管治療には保険診療と自由診療があり、使用できる材料や設備、処置にかけられる時間などに違いがあります。保険診療は国の定めた範囲内で行われるため、使用できる機材や治療方法に制限があります。

しかし、歯の根の形態は一人ひとり大きく異なり、湾曲していたり、非常に細かったり、複雑に枝分かれしていたりするため、それぞれの歯に合わせた精密な治療が求められます。

一方、自由診療では精密機器や専用材料を活用でき、治療の精度をより高めることが可能です。それぞれの特徴を理解し、目的や将来性を踏まえて選択することが大切です。

自由診療の場合

  • 1~3回で治療が終わることが多い(症例による)
  • マイクロスコープによる拡大視野下での精密治療が可能
  • ラバーダム防湿で無菌的に処置でき、細菌感染リスクを低減できる
  • ニッケルチタンファイルなど専用器具の使用で再治療になりにくい
  • 歯を削る量をできるだけ抑えられる
  • 根の中をより徹底的に消毒できる
  • 十分な治療時間を確保でき、丁寧で精密な処置が可能
  • 適合精度の高い被せ物まで一貫して管理できる
  • 治療費は保険診療より高額
世界
基準

保険診療の場合

  • 複数回の通院が必要で、症例によっては10回以上かかる場合もある
  • ラバーダムは必須でなく、使用しない場合は細菌感染リスクが高くなる
  • 使用できる材料に制限がある
  • 治療時間に制限があり、自由診療より短時間で行われる
  • 根本的な治療が難しく、再発の可能性が高い
  • 複雑な根の形に対応しきれないことがある
  • 歯を削る量が多くなってしまうことがある
  • 保険適用のため、自己負担は少なく済む

根管治療の精度と被せ物の
精度で成功率が変わります

自由診療の場合

初回の場合
(1回目)の成功率

90%*以上

やり直しの
場合の成功率

70~80

保険診療の場合

日本の保険診療の場合の成功率

30~50

自由診療の根管治療

自由診療では、マイクロスコープやCTを用いた精密診断に加え、ラバーダムによる無菌的な処置を行います。さらに、ニッケルチタンファイルや超音波洗浄を用いて、徹底した感染除去を図ります。また、根管充填や被せ物についても制限を受けることなく細かく管理できるため、細菌の再侵入を防ぎやすくなります。

一人ひとりの歯に合わせた精密な治療が可能となり、治療の選択肢が広がるとともに、成功率の向上が期待できます。

保険診療の根管治療

保険診療では、ランニングコストや導入コスト、保険制度の制約などにより、使用できる材料や処置工程に制限があります。そのため、十分な時間や設備を確保できない場合があります。また、拡大視野や無菌的な環境を必ずしも整えられないことから、感染源の取り残しや再感染のリスクが高くなります。さらに、被せ物と歯の間に隙間が生じてしまう場合、わずかな隙間から細菌が侵入し、再発につながる可能性もあります。

結果として成功率は低くなる傾向があり、治療の精度の差が、そのまま将来の歯の寿命に影響します。

*参考文献:須田英明「わが国における歯内療法の現状と課題」日歯内療誌 32巻1号,2011年

そのため当院では

歯の将来の健康を考え、
再発リスクをできる限り抑える
自由診療による精密根管治療をおすすめしています。

Contact

今だけでなく、歯を長く守るために
一度相談してみませんか?

Price

精密根管治療の費用

前歯

1歯 ¥88,000( 税込 )

小臼歯

1歯 ¥110,000( 税込 )

大臼歯

1歯 ¥132,000( 税込 )

初診 診査・診断料(検査代込)

¥11,000( 税込 )

セカンドオピニオン

¥11,000( 税込 )

再診料・貼薬

¥3,300( 税込 )

穿孔修復

¥33,000( 税込 )

根管内異物・破折器具除去

¥22,000( 税込 )

コア(土台)

¥22,000( 税込 )

Q&A

根管治療の
よくあるご質問

Q.

根管治療は痛いですか?

A.

根管治療では事前に麻酔を行うため、治療中に強い痛みを感じることはほとんどありません。炎症が強い場合や、急性症状が出ている場合には多少の圧迫感や違和感が出ることがありますが、状態に合わせて麻酔の方法や効き方を確認しながら進めます。痛みに不安がある方にも配慮し、できる限り負担の少ない治療を心がけています。

Q.

治療回数はどのくらいかかりますか?

A.

治療回数は、感染の広がりや根管の形態、過去の治療歴などによって異なります。一般的には複数回の通院が必要ですが、自由診療の場合は1回あたりの治療時間を十分に確保して進めることで通院回数を抑えられることもあります。正確な回数は検査後にお伝えし、無理のない計画をご提案します。

Q.

以前治療した歯でも再治療できますか?

A.

以前に根管治療を受けた歯でも、再感染が確認された場合は再根管治療が可能です。過去に充填された薬剤や土台を取り除き、内部をあらためて消毒します。ただし、歯の内部構造が複雑になっている場合や、破折や穿孔(歯の根や壁に穴が開いてしまうこと)がある場合は難易度が高くなります。事前にCTなどで精密に診査し、適応を慎重に判断します。

Q.

治療後に痛みが出ることはありますか?

A.

治療後に一時的な違和感や軽い痛みが出ることはあります。これは根の先に残っていた炎症反応や、処置による刺激が原因で起こることが多く、通常は数日以内に落ち着きます。必要に応じて痛み止めを処方し、経過を確認します。強い痛みや腫れが続く場合は、早めにご連絡いただくことで適切に対応いたします。

Q.

抜歯になる可能性はありますか?

A.

できる限り歯を残すことを前提に治療を行いますが、歯の大きな破折や重度の感染の場合は抜歯を検討することもあります。ただし、精密な根管治療によって保存できる可能性が高まるケースも少なくありません。検査結果をもとに、残せる可能性とリスクをご説明して、方針を決定します。